Non solo il midollo, non solo il sangue. Il nemico, quando si chiama leucemia mieloide acuta, trova una via segreta per arrivare fino al cervello, alterandone le difese e accendendo un incendio silenzioso nei tessuti più delicati del sistema nervoso. A dimostrarlo è uno studio italiano che cambia la prospettiva su una delle forme di tumore del sangue più aggressive, pubblicato sulla rivista scientifica internazionale HemaSphere. La ricerca, portata avanti dall’Università degli Studi di Perugia, nasce da un approccio che unisce biologia, medicina e persino filosofia, e restituisce un tassello fondamentale per comprendere ciò che i malati descrivono da sempre: quella stanchezza profonda, la difficoltà a mettere a fuoco i pensieri, gli sbalzi d’umore che accompagnano il percorso di cura.
L’équipe multidisciplinare, coordinata dalla professoressa Oxana Bereshchenko, del Dipartimento di Filosofia, Scienze Sociali, Umane e della Formazione, ha osservato un meccanismo insidioso. La leucemia, nel suo espandersi, non si limita a colonizzare il midollo osseo e il circolo sanguigno; rilascia segnali infiammatori sistemici capaci di scardinare la barriera che dovrebbe proteggere il cervello. È la barriera emato-encefalica, una sorta di dogana biologica ultra-selettiva, che nello studio perugino si rivela resa “porosa” dalla malattia.
“Questi risultati suggeriscono che la leucemia non colpisce solo il sangue, ma può avere effetti più ampi sull’organismo, incluso il cervello”, spiega la professoressa Bereshchenko. “Questo potrebbe contribuire a sintomi come stanchezza, difficoltà di concentrazione e cambiamenti dell’umore, spesso riportati dai pazienti”.
Fino a oggi, quella fatica cognitiva - che i malati chiamano spesso “nebbia mentale” - veniva attribuita quasi esclusivamente alla fatica fisica della malattia o agli effetti collaterali delle terapie. La ricerca umbra, invece, dimostra che esiste una causa organica diretta: il tumore stesso altera il microambiente cerebrale.
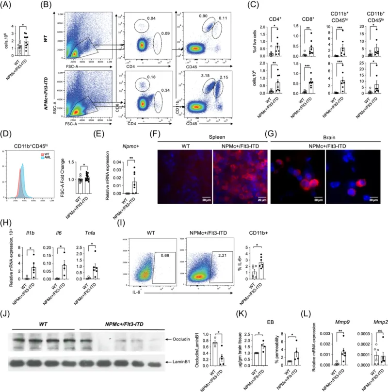
Per capire la portata della scoperta, bisogna entrare nel merito del lavoro condotto dai ricercatori perugini. Il gruppo di lavoro, che ha coinvolto i Dipartimenti di Medicina e Chirurgia, di Chimica, Biologia e Biotecnologie e di Filosofia e Scienze Sociali, ha analizzato modelli preclinici e campioni biologici, concentrandosi su cosa accade quando la leucemia mieloide acuta entra in una fase avanzata.
Hanno scoperto che la malattia agisce come un “apri-porta” a livello della barriera emato-encefalica. Normalmente, questa struttura impedisce a sostanze pericolose, cellule immunitarie “sbagliate” e mediatori dell’infiammazione di raggiungere il tessuto nervoso. Nella leucemia, invece, quella barriera diventa più permeabile. Attraverso le fessure che si vengono a creare, cellule infiammatorie e segnali chimici (citochine) si riversano nel sistema nervoso centrale, scatenando una reazione a catena.
Il dottor Paolo Cogliati, dottorando in Biotecnologie presso il Dipartimento di Chimica, Biologia e Biotecnologie, e il professor Cataldo Arcuri, della Sezione di Anatomia, hanno osservato con particolare attenzione il comportamento delle cellule gliali. Queste cellule, che costituiscono l’impalcatura di supporto del cervello, in condizioni di stress si “attivano” per difendere i neuroni. Ma se lo stimolo infiammatorio persiste, quella difesa si trasforma in un danno collaterale.
I risultati sono eloquenti: nei pazienti affetti da leucemia sono stati rilevati non solo segni di infiammazione sistemica, ma possibili indicatori di danno ai neuroni. È un quadro che ricorda, in parte, ciò che accade nelle malattie neurodegenerative, ma qui il motore primo è il tumore del sangue.
“La ricerca nasce da un dialogo continuo tra discipline apparentemente lontane”, sottolinea il dottor Daniele Sorcini, della Sezione di Ematologia. “Senza lo sguardo della biologia molecolare e quello della farmacologia, non saremmo riusciti a tracciare il percorso di questi segnali infiammatori. Ma senza l’approccio umanistico, forse non avremmo posto la domanda giusta: perché il malato soffre anche nella sua dimensione psichica e relazionale?”.

L’implicazione più importante di questo studio, pubblicato su HemaSphere, non è solo diagnostica, ma terapeutica. Se l’infiammazione cerebrale è un effetto diretto della leucemia e non solo un effetto collaterale delle cure, allora diventa possibile immaginare strategie per “proteggere” il cervello parallelamente alla lotta contro il tumore.
La dottoressa Maria Cristina Marchetti, della Sezione di Farmacologia, è tra le prime a guardare avanti. I dati raccolti indicano che intervenire sull’infiammazione sistemica o rinforzare la barriera emato-encefalica potrebbe ridurre il carico di sintomi cognitivi, migliorando drasticamente la qualità della vita durante e dopo i trattamenti. “Queste scoperte aprono nuove possibilità per sviluppare terapie che non solo contrastino la malattia, ma migliorino anche la qualità di vita dei pazienti”, ribadisce la professoressa Bereshchenko.
Per i pazienti, sapere che quella stanchezza che non passa con il riposo, quella difficoltà a ritrovare la concentrazione o gli sbalzi d’umore hanno una radice biologica, un “ponte” infiammatorio che collega il sangue al cervello, è un primo passo per smettere di subirli in silenzio. La ricerca perugina offre al mondo medico una nuova lente: guardare alla leucemia non più solo come a una patologia ematologica confinata, ma come a una malattia sistemica che, per essere vinta, deve essere compresa e curata anche nella sua capacità di colpire la mente.
In un panorama oncologico in cui la sopravvivenza si allunga sempre di più, restituire lucidità e benessere psicologico ai malati diventa un obiettivo prioritario. E grazie a questo intreccio virtuoso tra biotecnologie, medicina e scienze umane, l’Università di Perugia ha dimostrato che per battere il cancro a volte bisogna partire da lontano, dal confine sottile dove il sangue incontra il pensiero.